Expert Care for Primary Brain Tumors at Northwestern Memorial Hospital
To make an appointment at the Lou and Jean Malnati Brain Tumor Institute at Northwestern Memorial Hospital, call us 24/7 at 312.695.4360 or fill out a form.
Primary Brain Tumors
A brain tumor is a collection of abnormal cells in your brain. The tumor may be primary (starting in your brain). Or, the tumor may be metastatic (cancer that started in another place in your body and spread to your brain).
There are many different types of primary brain tumors. They can be:
- Benign: slow-growing and not cancerous
- Malignant: faster-growing and cancerous
Brain tumors can cause serious damage, even if they are benign. The degree of damage depends upon the type, size and location of the tumor.
Northwestern Memorial Hospital serves patients from across the country and around the world who have primary brain tumors. Through the Lou and Jean Malnati Brain Tumor Institute of Robert H. Lurie Comprehensive Cancer Center at Northwestern University, we offer a wide range of services. They reflect our commitment to caring for each patient from diagnosis through treatment, and on to rehabilitation. Our team is often able to offer new treatments that are not yet widely available, through clinical trials.
Meet The Team
Patients with primary brain tumors require care from multiple specialists to achieve the best outcomes for each patient. Your multidisciplinary care team includes experts who specialize in primary brain tumors. We welcome patients seeking second opinions. To make an appointment, call us 24/7 at 312.695.4360 or fill out a form.
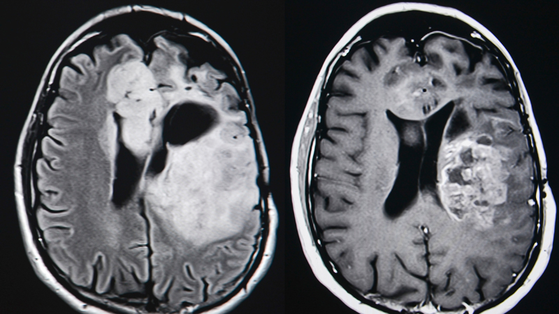
Advanced Diagnosis and Treatment
At Northwestern Memorial Hospital, you will have access to the latest imaging and diagnostic tools available, as well as the most advanced surgical and non-surgical treatment options. Our neuro-oncology team is one of the largest in the country, and includes world-renowned experts. Our radiation oncologists offer the latest radiation technologies, including radiosurgery and proton beam therapy. We perform more brain and spine tumor surgeries than any other health system in Illinois.
Complex cases are reviewed by Northwestern Neuro-Oncology Tumor Board. The board is made up of some of the world’s leading experts in their fields:
Types of Primary Brain Tumors We Treat
Our experts care for all types of primary brain tumors, including rare brain tumors:
- Astrocytomas
- Craniopharyngiomas
- Ependymomas
- Gangliocytomas
- Ganglioglioma
- Glioblastoma
- Glioma
- Hemangioblastomas
- High Grade Glioma
- Low Grade Glioma
- Medulloblastomas
- Meningioma
- Oligodendrogliomas
- Pineal Tumors
- Pituitary Tumors
- Pleomorphic Xanthoastrocytomas (PXA)
- Primary central nervous system lymphoma
- Schwannomas
- Subependymomas
- Tumors related to Von Hippel Lindau Disease
Latest Treatment Options
We offer a range of treatments for primary brain tumors. These include non-surgical, surgical and minimally invasive treatment options.
- 3-D Conformal Radiation Therapy
- Chemotherapy
- Chemotherapy and Hormone Therapy
- Endoscopic Surgery
- Gamma Knife® Radiosurgery
- High-Dose-Rate (HDR) Brachytherapy
- Image-Guided Radiation Therapy (IGRT)
- Intensity Modulated Radiation Therapy
- Low-Dose Brachytherapy
- Medication
- Minimally Invasive Surgery
- Proton Therapy
- Radiation Therapy
- Surgery
- TomoTherapy
A National Destination for Brain and Spine Tumor Second Opinions
After you receive a brain or spine tumor diagnosis, finding the right treatment can seem overwhelming. Getting a second opinion can help you feel confident about your diagnosis and treatment plan. Among the world’s leading experts, people across the country turn to our team for second opinions.
Improved Outcomes for Brain and Spine Tumor Patients
Our physicians and research scientists seek new treatments for glioblastoma and other gliomas, brain metastases, meningioma, and other brain and spine tumors. These efforts have contributed to new treatments and improved outcomes for our patients. Our commitment to clinical research and bringing the most advanced treatments to our patients translates into improved survival rates and a better quality of life for individuals with brain and spine tumors.
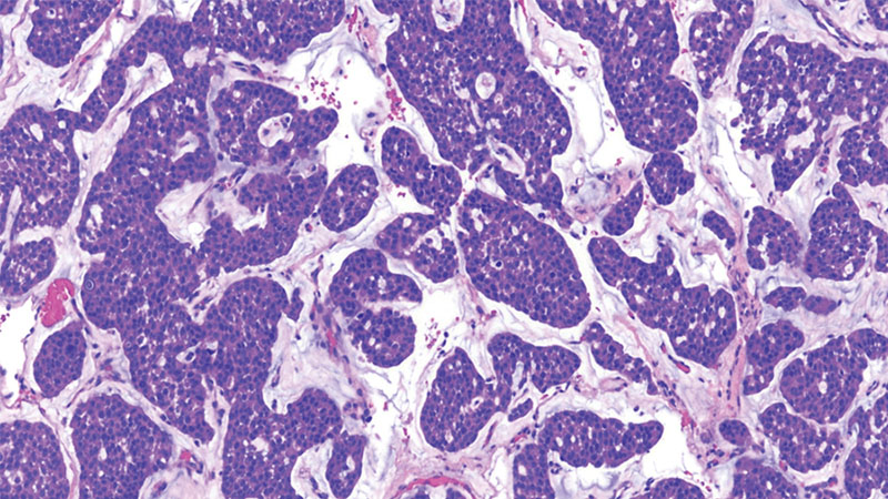
Expert Pathology Reports
At Northwestern Medicine, our renowned neuropathology team specializes in tumors of the central nervous system. We provide comprehensive evaluations for brain and spine tumors, including integrating clinical, radiologic, pathologic and molecular data to ensure the most accurate diagnoses possible. We are able to conduct these analyses even on tissue which has been resected (removed) at other institutions.